View Benign Brain Tumor Images US

44+ Surgery Brain Tumor Images Pics

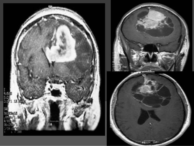
44+ Surgery Brain Tumor Images Pics. Show brain tumor at right parietal lobe of cerebrum. There are two main types of tumors:

PPT - Best Brain Tumor and Breast Cancer Surgery in India ...
PPT - Best Brain Tumor and Breast Cancer Surgery in India ... from image4.slideserve.com
Risks associated with brain tumour surgery. Craniotomy/brain tumor removal surgery in india. See more ideas about brain surgery, brain tumor, tumor.

This uses a strong magnetic field and radio waves to provide a detailed image of the brain.

This type of imaging test (described in tests for brain and spinal cord tumors in. 638 x 479 jpeg 67 кб. This required six different surgical procedures to be conducted on the patient. It can be benign (noncancerous) or malignant (cancerous).

Komentar